[APEC2025]지난 달 CEO 서밋서 KAIST 이름 거명…4개 분야 "당장 준비"
박희범 기자
이정현 미디어연구소
가문비나무 잎에서 금 나노 입자가 발견됐다는 연구 결과가 나왔다고 과학전문매체 라이브사이언스가 최근 보도했다. 연구진은 이런 현상이 나무가 자라...
2025.10.13 PM 02:57이정현 미디어연구소
티베트 고원을 굽이쳐 흐르는 독특한 강줄기가 위성 사진에 포착돼 눈길을 끌고 있다고 과학전문매체 라이브사이언스가 14일(현지시간) 보도했다.올해...
2025.10.15 PM 02:40이정현 미디어연구소
강철보다 최대 10배 강하면서 6배 더 가벼운 새로운 유형의 목재가 개발됐다고 CNN 등 외신들이 최근 보도했다.강철보다 강한...
2025.10.21 AM 10:59이정현 미디어연구소
과학자들이 제임스웹 우주망원경(JWST)을 통해 지구에서 5천400만 광년 떨어진 거대 블랙홀 ‘메시에87(M87)’에서 분출되는 거대한 제트 ...
2025.10.16 AM 10:24이정현 미디어연구소
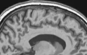
줄기세포는 인체를 구성하는 다양한 세포로 분화할 수 있어 손상된 조직을 회복시키고 신체의 균형을 유지하는 데 핵심적인 역할을 한다. 그러나 나이...
2025.10.06 PM 12:56백봉삼 기자
나이가 들수록 시간이 더 빨리 흐르는 것처럼 느껴지는 이유가 과학적으로 규명됐다고 과학전문매체 라이브사이언스가 21일(현지시간) 보도했다.영국 ...
2025.10.22 PM 02:04이정현 미디어연구소
UNIST가 논문의 질을 평가하는 네덜란드 라이덴 랭킹에서 9년 연속 국내 1위를 지켰다. 국내 2위는 POSTECH, 3위는 KAIST가 차지했다. 라이덴대학 과학기술연구센터...
2025.11.03 PM 06:25박희범 기자
출연연구기관 우수 연구성과 10선에 차세대 태양광과 암 백신, 줄기세포, 6G, 가상-입체영상(SR) 등 10개 기술이 선정됐다. 이들 기술에는 장관상이 수여됐다. 국가과학기술...
2025.11.03 PM 05:52박희범 기자
호주에서 고속도로를 달리던 테슬라 차량에 운석으로 추정되는 물체가 떨어져 화제가 되고 있다고 ABC뉴스, 사이언스얼랏 등 외신들이 3일(현지시간) 보도했다. 보도에 따르면 호주...
2025.11.03 PM 05:12이정현 미디어연구소
인도가 자국 역사상 가장 무거운 군사 통신위성을 발사하며 우주개발 계획에 또 한 걸음을 내디뎠다. 과학 전문 뉴스 사이트 피즈닷오르그 등 외신에 따르면 인도우주연구기구(ISRO...
2025.11.03 AM 11:29진성우 기자
로봇 전자눈의 핵심인 초소형 적외선 센서를 상온에서 제작할 수 있는 3D 프린팅 기술이 개발됐다. KAIST는 기계공학과 김지태 교수 연구팀이 고려대학교 및 홍콩대학교 연구진과...
2025.11.03 AM 10:10박희범 기자
2025 아시아태평양경제협력체(APEC) 정상회의가 지난 1일 '경주선언'을 끝으로 폐막한 가운데 KAIST가 엔비디아 젠슨 황 최고경영자(CEO)의 "KAIST와 같은 우수대...
2025.11.02 AM 11:50박희범 기자
프랑스가 세계 최초로 전기차 무선 충전을 지원하는 고속도로를 가동했다고 과학전문매체 인터레스팅엔지니어링이 최근 보도했다. 프랑스 파리 구스타프 에펠 대학 연구진은 도로 매립형 ...
2025.11.01 AM 11:46이정현 미디어연구소
침팬지가 예상보다 훨씬 더 인간에 가까운 인지 능력을 갖췄다는 연구 결과가 나왔다. 미국 캘리포니아 대학교 버클리 캠퍼스와 네덜란드 위트레흐트 대학 공동 연구팀은 침팬지가 새로...
2025.11.01 AM 10:52이정현 미디어연구소
태양광 에너지로 최대 3개월 동안 하늘을 날 수 있는 무인 항공기가 미국 해군의 5G 통신망을 지원하게 됐다고 과학전문매체 인터레스팅엔지니어링이 30일(현지시간) 보도했다. 미...
2025.11.01 AM 09:34이정현 미디어연구소
영국 고고학자들이 얼굴을 아래로 한 채 구덩이에 묻혀있는 2천년 전 10대 소녀의 유골을 발견했다고 과학전문매체 라이브사이언스가 최근 보도했다. 이는 매우 이례적인 매장 방식으...
2025.10.31 PM 04:41이정현 미디어연구소
경제협력개발기구(OECD) 회원국의 GDP(국내총생산) 대비 R&D 투자비율은 평균 2.7%라는 분석이 나왔다. 과학기술정보통신부는 OECD가 지난 28일 제127차 과학기술정...
2025.10.31 PM 12:01박희범 기자
민간 기업이 나로우주센터를 이용하기 위해서는 발사 희망일로부터 최소 4개월 전에는 본 절차 단계를 밟아야 한다. 한국항공우주연구원은 31일 나로우주센터에서 우주발사체 관련 시험...
2025.10.31 PM 12:00박희범 기자
민간 우주 발사체 기업 이노스페이스(대표 김수종)가 스위스 기업 와이즈키(WISeKey) 자회사 '와이즈샛(WISeSat)' 및 '실스크(SEALSQ)'와 전략적 파트너십 구축...
2025.10.31 AM 11:39박희범 기자
약 600만년 전 지구 지질의 오랜 역사를 지닌 얼음이 남극에서 발견돼 주목을 받고 있다고 IT매체 기즈모도가 최근 보도했다. 이번에 발견된 빙하 코어는 기존 최고 기록인 27...
2025.10.31 AM 11:06이정현 미디어연구소
대전시가 우주 및 항공 글로벌 기업 R&D센터 유치전에 뛰어 들었다. 30일 대전서 열린 퀀텀 커넥터 데이에서 '대전 양자산업, 세계를 향한 혁신과 투자 기회'를 주제로 강연에...
2025.10.30 PM 09:43박희범 기자
'허리케인 헌터'가 초대형 허리케인 멜리사의 중심 속으로 비행하며 촬영한 영상이 공개됐다고 라이브사이언스 등 외신들이 29일(이하 현지시간) 보도했다. 공개된 영상은 '허리케인...
2025.10.30 PM 05:08이정현 미디어연구소
최근 영국에서 한 여성이 버스 탑승 전 남은 커피를 배수구에 버렸다가 150파운드(약 30만원) 벌금을 부과 받아 화제가 됐다. 논란이 커지자 벌금을 부과한 런던 리치먼드 시의...
2025.10.30 PM 04:15이정현 미디어연구소
우주항공청 재사용발사체 사업이 표류하고 있다는 지적이 제기됐다. 국회 과학기술정보방송통신위원회 최수진 의원(국민의힘)이 우주항공청으로부터 제출받은 자료에 따르면, 항공우주청은 ...
2025.10.30 PM 04:08박희범 기자
국내 연구진이 지구 온난화의 주범인 이산화탄소를 친환경 연료로 만드는 새로운 촉매 기술을 개발, 양산을 추진한다. 한국에너지기술연구원은 수소연구단 구기영 박사 연구팀이 이산화탄...
2025.10.30 PM 02:31박희범 기자
인공지능(AI) 기술을 활용해 화성의 모래알에 작용하는 힘을 추정하고, 이를 통해 붉은 행성이 어떻게 진화했는지 분석할 수 있는 새로운 방법이 개발됐다고 우주과학매체 스페이스닷...
2025.10.30 AM 11:20이정현 미디어연구소